Smile Transformations

Smiling mature woman with short blond hair wearing a light pink blouse and small hoop earrings, standing indoors.
Let Us Transform
Your Smile & Your Life
Close-up of a person's mouth showing partially closed lips and stained, slightly crooked teeth with visible gaps.
Close-up of a man's smile showing white teeth with facial hair around the mouth.
Close-up of a smiling mouth showing clean, straight upper teeth with slightly parted lips.
Close-up of a person smiling showing straight, white teeth.
Close-up of a smiling mouth with visible stained and uneven teeth and a mustache above the upper lip.
Close-up of a smiling mouth showing clean, straight white teeth and a mustache.
Close-up of a smiling person’s mouth showing natural teeth and lips with light pink lipstick.
Close-up of a person smiling with white teeth and wearing dark red lipstick.
Close-up of a smiling mouth showing stained and uneven upper and lower teeth.
Close-up of a smile with red lipstick on lips showing clean, white teeth.
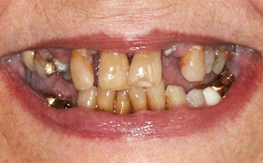
Close-up of a mouth with severely decayed, discolored, and misaligned teeth.
Close-up of a smiling mouth showing white teeth and lips with natural skin texture.
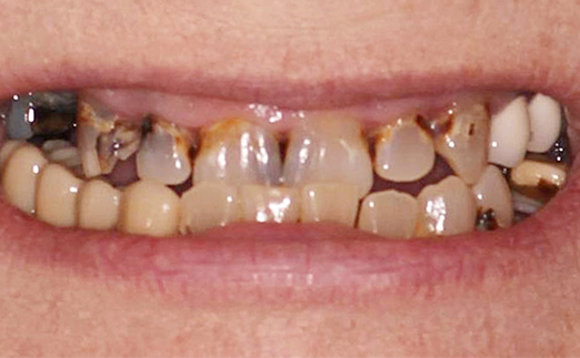
Close-up of a person’s mouth showing severely decayed, discolored, and damaged front teeth.
Close-up of a smiling mouth showing slightly spaced upper front teeth and a mustache above the lips.
Close-up of an older person's mouth with a mustache showing natural teeth with some discoloration.
Close-up of a smiling mouth with white teeth partially covered by a thick gray mustache.
Close-up of a person's mouth showing upper front teeth with discoloration and gaps.
Close-up of a person's mouth showing slightly parted lips with pink lipstick and clean white teeth.
Close-up of a person's mouth showing worn and decayed teeth with dental crowns on the front teeth.
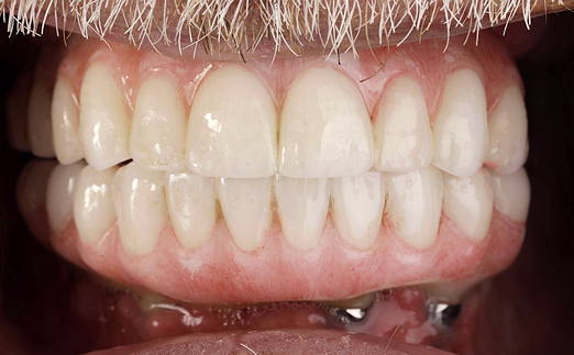
Close-up of a person's mouth showing a full set of upper and lower dentures with a mustache above.
Close-up of a mouth with severely decayed and discolored teeth.
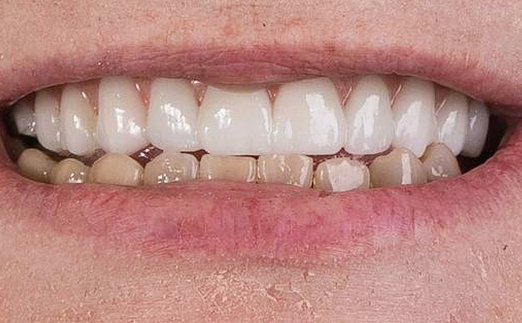
Close-up of a smile showing upper teeth with bright white veneers and lower teeth that are discolored and worn.
Close-up of a mouth showing upper front teeth with severe black tooth decay.
Close-up of a person's mouth showing white, healthy teeth with a slight smile.
Close-up of a person's smile showing upper front teeth with a prominent reddish-brown mustache above the upper lip.
Close-up of a smiling mouth with white teeth and a thick reddish mustache.

Enter a
New Era of
Dentistry

Call 615.941.3368 or request an appointment online to set up your first visit. We’ll be in touch soon.