
The thought of getting oral surgery may seem intimidating, but at The Burkitt Center for Comprehensive Dentistry, we do our best to keep you feeling safe and comfortable throughout the entire process. Dr. Will has extensive experience with extracting damaged teeth, placing dental implants, and bone grafting. If you need oral surgery in Brentwood, we can help you get the care you need. We also offer sedation dentistry to ensure that you stay calm and pain-free, even if you’re anxious about your upcoming appointment. Contact us now to get started!

The Burkitt Center offers biologically focused oral surgery in Nolensville, Brentwood, and South Nashville. Our approach combines modern technology with whole-body dental care, using biocompatible, mercury-free materials that support long-term health.Dr. Will Jones, trained in oral surgery and IV sedation at The Foundry AEGD, performs procedures including tooth extractions, bone grafting, and dental implants. We use minimally invasive techniques and guided technology like the Yomi robotic system to protect healthy tissue and improve healing time.If you're looking for a biological dentist with expertise in oral surgery, call us to schedule a consultation.
Oral surgery doesn’t have to feel stressful. At The Burkitt Center, we focus on patient comfort from the moment you arrive. Our calming environment and therapy dog, Bodie, help ease anxiety before your visit begins.
During your procedure, we use advanced anesthetics and dental sedation to ensure a painless experience.
Options include nitrous oxide, oral conscious sedation, and IV sedation, depending on your comfort level and the complexity of care.Every treatment is designed with your nervous system in mind.
As a biologically focused dental practice, we prioritize gentle techniques and stress-reducing tools—including in-room TVs—to make your experience as smooth as possible.

Dental implants are a permanent solution for missing teeth, offering strength, stability, and a natural look. At The Burkitt Center, we place biocompatible dental implants designed to integrate with your bone and support long-term oral health.
Each implant acts as an artificial tooth root, bonding with the jaw through osseointegration. We use minimally invasive techniques to protect surrounding tissue and promote faster healing.
As a biologically focused dental practice, we prioritize comfort, precision, and whole-body safety throughout your procedure. Our team is experienced in implant placement and sedation, making your visit smooth and stress-free.
Bone grafting may be necessary before placing a dental implant if the jaw has weakened due to tooth loss. Without a tooth root to stimulate the bone, the area begins to shrink and lose density over time.
At The Burkitt Center, we offer bone grafting using safe, biocompatible materials to restore jaw strength. The process involves placing graft material into the weakened area, which encourages your natural bone to rebuild and regenerate.
As healing progresses, the graft integrates with your own bone, creating a stable foundation for a dental implant. Once placed, the implant helps prevent future bone loss by restoring healthy stimulation through chewing and daily function. This is key to long-term oral health and whole-body stability.
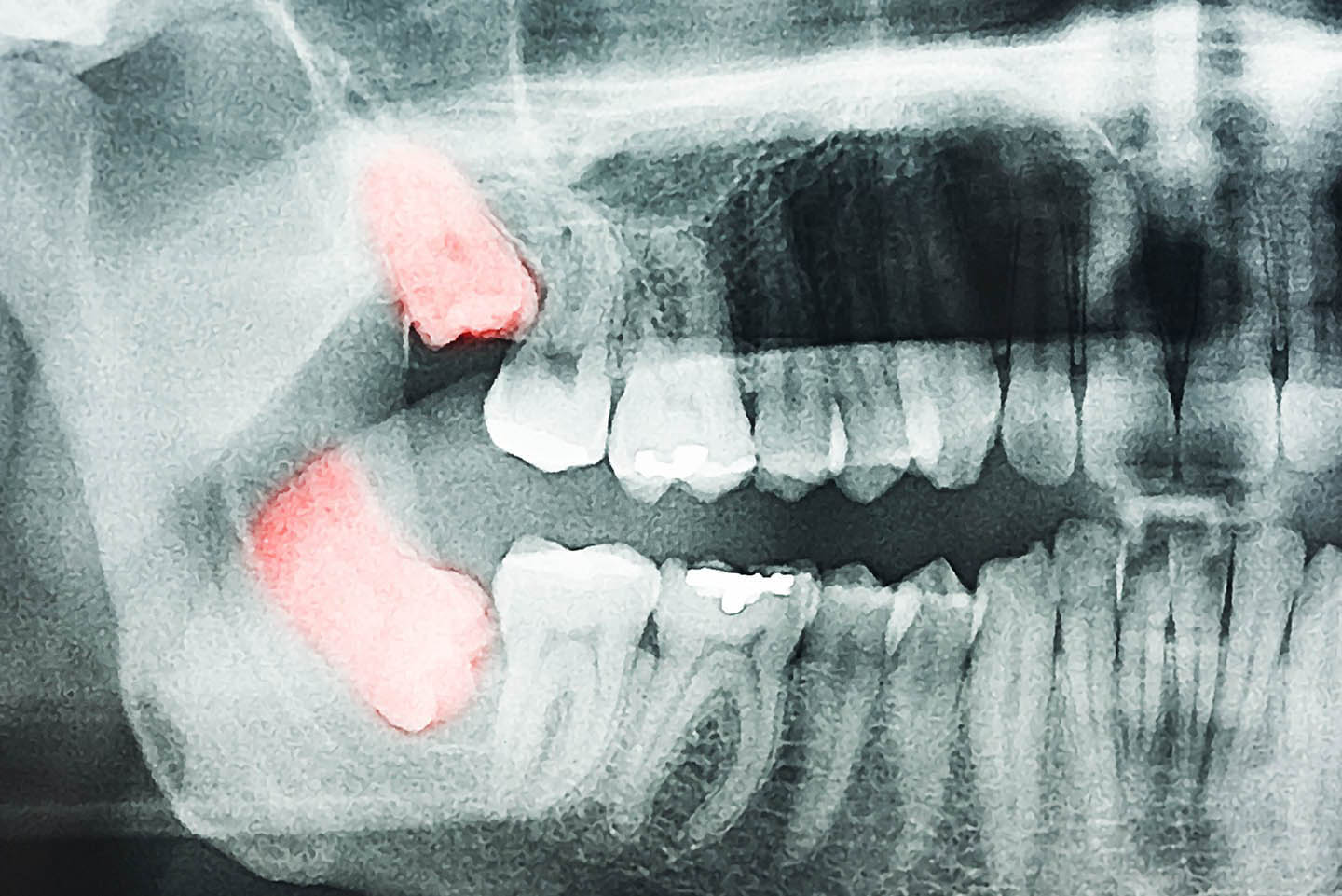
If your wisdom teeth are impacted and haven’t fully erupted through the gums, a simple extraction may not be possible. In these cases, a surgical extraction is needed. This involves making a small incision in the gum, sectioning the impacted tooth into smaller pieces, and carefully removing them through the opening.
At The Burkitt Center, we use the latest surgical techniques and offer multiple sedation options to keep you comfortable throughout the procedure. As a biologically focused practice, we prioritize tissue preservation, reduced inflammation, and a smoother recovery.
If you’ve been dealing with dental issues that are holding you back from living fully, we’re here to help. After a personalized consultation with Dr. Will, we’ll recommend the treatment that best supports your health, function, and long-term goals.If you're in the Brentwood area, visit The Burkitt Center for Comprehensive Dentistry at 7024 Nolensville Road, Nolensville, TN 37135. Or, call us at (615) 941-3368 to get started today!
Call 615.941.3368 or request an appointment online to set up your first visit. We’ll be in touch soon.